Brain Surgery

Alicent Manwaring
—Apr 06, 2018

I feel so blessed that our family was able to take such a wonderful trip to Costa Rica because life has been a little rough ever since. This post is a brief overview of some of my struggles since the beginning of the year. I wasn't sure if I was a little depressed after our amazing trip to Costa Rica or exactly what was going on, but I knew I just felt bad! I was hoping to run a half marathon in the Spring, but just didn't have the energy to train and attendance at my gym classes was pretty sporadic. I was also having a lot of headaches and dizziness. One day at the gym, during my strength class, I was hit with the worst case of vertigo ever. I just laid on the floor, flat on my back while the world spun around me a million miles an hour. I finally opened one eye to look at my instructor who was down on the floor next to me asking if I was okay. I said "no" and hurriedly walked to my car tripping and staggering as I went (anyone witnessing it would think I had had way too much to drink). I finally made it home and collapse on my bed, just to ride the merry-go-round for another four hours!

I try to avoid going to the doctors whenever I can but the bouts of dizziness and vertigo were preventing me from living my life. I received the diagnosis of sinus infection exacerbated by traveling and flying. The doctor put me on a round of antibiotics, which made me feel a little better, but by the end of the course, I looked like this...a Beverly Hills housewife with a bad Botox job! The worse part wasn't even the swelling in my lips, nose, and sinuses, but the horrible hives all over my body (add penicillin, in addition to sulfa, to my allergy list!).

Back to the doctors I went, and after a heavy duty steroid shot, and histamine blockers every four hours, I finally looked like this. Unfortunately, the hives stuck around for another week. Just as the hives were beginning to disappear, I came down with the flu and had bad chills, body aches, gastritis (the stomach pain and nausea were relentlessness), and of course, an ongoing headache.
On the down slope of that my head started hurting so bad one night I began throwing up. Even with the flu, I hadn't thrown up. The pain was excruciating and it scared me because my Dad had the same symptoms before he died from a brain aneurysm. It was about midnight Saturday night when I told Brad that we needed to go to the ER. He was going to take me to our local hospital's ER because it was the closest, but I told him we needed to drive to Central Baptist in Lexington (I really felt impressed to go there and not just because I used to work in their ER). He questioned my choice especially since it would be a forty minuet drive, and in addition to my headache and nausea, I was fighting to stay conscious. On the way to the hospital we called my Mom, who told Brad to drive fast, and get me in a room as soon as possible, which they did. 
Before we knew it, I was being wheeled in for a CT scan with contrast and then an MRI. Both scans were torturous because I was in so much pain, and so nauseated, yet I wasn't supposed to move. I have never prayed so hard to just keep it physically and mentally together! After the scans they finely gave me something for the pain and nausea but overdid it because all the meds made me extremely restless and anxious. I felt like I wanted to jump right out of my skin! I was then wheeled from ER to the ICU.
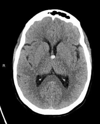
The Neuro surgeon, Dr. Christian Ramsey (who is such a great guy!), came in early Sunday morning and explained that the CT scan showed I had a Colloid Cyst (white dot in the above picture) in the third ventricle of my brain which was blocking the Cerebral Spinal fluid (CSF) from circulating causing Obstructive Hydrocephalus, which, if left untreated, could lead to death. He then explained that the best way to remove my cyst was the most risky and invasive way by making an incision in the top of my head (Craniotomy) and digging down through the Corpus Callosum, which separates both hemispheres of the Cerebrum, to reach the ventricles. Dr. Ramsey was pretty sure that my cyst was more solid, and therefore could not be performed endoscopically. He also explained that I was moved to the N-ICU (Neurology ICU) where I could be monitored pre and post-operative every hour due to my hydrocephalus and increased seizure risk, both of which were also being treated with IV medications. Even though Colloid Cyst are rare, Dr. Ramsey assured us that he was the right person for the job due to the fact he did a fellowship in Finland with the top Colloid Cyst specialist in the world, and he even wrote a paper on Colloid Cysts (tender mercy)! He ended up talking with us for a good forty-five minuets, but we still felt like we should get a second opinion or something, after all, this was brain surgery. So Brad had a long talk with our family physician, whom we really like and trust, and felt better about the whole thing, especially after finding out the two were good friends, and that Dr. Ramsey had already spoken with our family physician. Brad also asked our nurses what they thought of Dr. Ramsey and they all agreed that he was a very smart, dedicated and thorough doctor who really cared for his patients.

Dr. Ramsey did not want the surgery to be an emergency situation, and he wanted to operate with his whole team, so he felt it was best that I be monitored for a couple of days before surgery. I appreciate so much all of the people that came to visit me before and after surgery, and the beautiful flowers that unfortunately we couldn't keep on the unit. I loved the baskets full of useful items for my time spent in and out of the hospital, all the gifts, goodies, cards and well-wishes in every form!!!



I also appreciate so much all of the wonderful ICU nurses and the CNA's who took care of me (tender mercy). The night before surgery my CNA washed my hair, and helped me take a sponge bath which felt so good, especially after being so sick and sweating buckets prior to going to the hospital and during my first night in the ER.

The morning of Tuesday, March 6, 2018 at 6:00 am I was wheeled to pre-op and prepped for surgery. I was asked a million questions and then they put in a larger IV and Arterial line (which was an ordeal and had to be placed with the help of ultrasound because my radial artery was so small). Arterial lines are used to monitor blood pressure directly, which was important because if my BP went to high, I could have a seizure.
I had Brad take this picture, right before I was wheeled into the operating room so that he could send it to the kids and let them know I was okay. I was then rolled into the OR and transferred to the operating table. I just remember that the room was freezing cold, the table was really hard, and the only people in there was the OR tech and the anesthesiologist who put something in my IV right before I went out cold!
I have mentioned it before but I was at total peace before and after surgery, and I know it was because of everyone's prayers and the blessing I received while in the hospital. I knew that with so many people praying for me, there was no way the surgery wouldn't be successful, unless it was just my time to go (in which I think God would have given me a little heads-up).

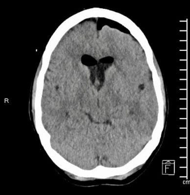
The surgery was a success, and the above picture is of my CT scan the afternoon after surgery. The cyst is gone and there is good flow of CSF through the ventricles. They also closed my skull with titanium plates and screws which the doctor assured me would not go off at the airport.
I don't remember anything that happened the day of surgery, which is a good thing because Brad said I was in pain and nauseated and just wanted to sleep. He explained that he felt a little sad and lonely (and probably a little sleep deprived) that day and while getting something to eat at the hospital cafeteria, bumped into an old friend and neighbor who worked at the hospital. They had a really good chat, and Brad said it made him feel so much better.

I woke up early Wednesday morning to use the restroom, which was always an ordeal with all the IV's, monitors, and now a drain coming out of my head hooked to a collection apparatus (which you can see in this picture). Anyway, I felt something weird on my head so I asked Brad, who was the one helping me manage all the tubes and wires, "did I have surgery?" He just laughed and told me that I had had surgery 24 hours earlier!
That day I made up for not remembering the previous 24 hours, and had fun talking with all the people who came to visit,
and enjoyed opening gifts from everyone. It was just like Christmas all over again!

That evening Merinda and I cuddled while watching our favorite show on my i-pad. The sad thing is that I also have little recollection of that day as well. I completely forgot that Merinda and I watched that show, and not until watching it a third time did I finally remember what it was about. In fact, the whole week that I spent in the hospital is a blur. Through pictures, and asking Brad and friends what happened on which day, I have slowly pieced back together the week, but as far as actually remembering what happened, I just can't. I'll get random flashbacks but I don't know which days they occurred.
Thursday I felt terrible. I think I definitely overdid it the day before, plus my night nurse (who I really did like) skipped one of my doses of pain medicine so that I could sleep. Which wasn't very wise because I spent the rest of the day trying to get on top of the pain and subsequent nausea. I think I murmured a lot to the day-shift nurse because I get grumpy when nauseated and in pain, but he was so sweet and took it all in stride, and did what he could to help me get comfortable.
WARNING: The next few pictures are not for the faint of heart!

One of the things I do remember is when Evan Bennett (Dr. Ramsey's PA who was really cute, and super nice) came to remove the drain that was in my brain, and the dressing covering my stitches. The reason I remember it is because the dressing was stuck supper hard to my scalp, and ripped out whatever hair I had left! Evan was the one who stitched me up in the OR, and explained that they put a type of super glue disinfectant over the stitches and part of the hair to keep the wound from getting infected. Apparently, I began to wake up from anesthesia before they were quite ready, so Evan ended up slopping glue all over my bangs, forehead, and even on my eyebrows. I don't remember but Brad says Evan apologized to me profusely.

Friday I felt a little better, especially after taking a full shower (while sitting on the commode chair). I couldn't wash my hair yet, but that was okay. I mostly slept, but Brad had a friend come and babysit me while he went home to shower and re-group. I guess he didn't trust me, but I don't blame him, my nurses were always getting after me for going to the restroom by myself, which is forbidden on the neuro unit. I hated to bother them especially since I knew how to turn off the monitors and silence my IV (it's really true that nurses make the worst patients!). After a long nap I was surprised to see my friend just hanging out on the couch when I woke up (tender mercy). It was nice to visit with her and even my nurse mentioned how good it was to see me smile. Evan then came to put a smaller dressing on my head, and explain how to take care of my wound once I was home.
Saturday morning we spoke with Dr. Ramsey who said I could either be discharged that day, or if I didn't feel quite ready, move to a regular floor. I was a little nervous to go home just because I was still taking two pain pills every four hours for headaches, an anti-nausea pill every six hours, and a pill to help me relax and sleep at night, but I didn't want to move to a regular floor so I decided it was time to go home. Plus, I knew I would be okay because Brad was planning on picking my Mom up from the airport on his way back to the hospital to take me home.

It's times like these, that a person really needs their Mamma! Mom took such good care of me my first week home from the hospital. I am so grateful for all of her help, and that she was there to keep me company while I vegged on the couch!
Mom took this picture of me one morning while I was buttering toast. She then sent the picture to all of my siblings which grossed out some of them. But she kept everyone in the family informed of my progress which I appreciated. I also appreciated Brad doing the same thing every night in the hospital as he spoke with, or texted, the kids, our friends, and extended family, keeping them all informed of things.

Mom also took this picture of the bruising from my IV's and Art lines. But worse than the bruising were the hives all over my body from the IV antibiotics I received after surgery, and the horrible rashes on my chest from the monitor's electrode-stickers (add adhesive and latex to my list of allergies!). Mom helped me apply hydrocortisone cream twice a day and also spent an hour applying oil to my hair trying to remove all the glue, and then had to listen to me complain each time I showered as my hair came out in handfuls.

The narcotics I went home with ended up shredding stomach and making me more nauseated so I quit them cold turkey. I started taking ibuprofen around the clock to manage the headaches until the nurse (calling from the hospital to check up on me) told Brad I should take acetaminophen instead. There was too much risk for bleeding in the head with ibuprofen. Unfortunately, the acetaminophen was like taking water for my pain.
Mom sat up with me all one night just massaging my neck and head trying to help me deal with the pain. The next morning I tried some of her Excedrin Tension headache pills, since they didn't contain aspirin, and it took the edge off but made it difficult to get a decent night's sleep because of the caffeine.

At my two week follow-up appointment Evan removed my stitches and said he was very happy with my progress. I told him I was still having bad headaches and nausea, and not sleeping very well. He said if those were my only symptoms then I should consider myself lucky.
He explained that they recently did brain surgery on a patient who got a bad infection two days after surgery and ended up in critical condition with meningitis. Evan also told me not to touch or pick at my scar (which is hard not to do because the top of my head is still numb) because that too can lead to all kinds of infection. Anyway, I guess I didn't feel so bad after all (it's all about perspective!). Evan also said it would be okay to alternate acetaminophen and ibuprofen making sure not to take the Excedrin Tension headache too close to bedtime.

It's amazing what a good night's sleep does for a person. I was not cured, but life seemed a little more manageable so Mom and I decided to take a walk around the pond at our local park. It was so nice to breathe in fresh air again, and get a little exercise.

Brad was a good sport and took these pictures of us posing in the park while updating his sister on things over the phone.

I appreciate so much was all the people who called to check up on me, I have been truly humbled by the outpouring of love and concern on my behalf!

Beautiful Scott County park...

and beautiful Mom!

I realized that fresh air was a really good thing for me so Mom and I tried to walk around the block at least once a day.

And then it was back to the couch with my super comfy blanket and socking (that I received from my Sister-in-law!).

That week Mary, my nurse manager from work, came to visit

and brought me a goody basket full of my favorite snack foods and chocolate,

and the most beautiful roses, compliments of everyone at work. Our office has been running short on help so I was scheduled to work every morning the week I ended up in the hospital. I am glad they are all so understanding and I can't wait to go back and see everyone again!

I also received a big box of bon bons from Brad's office,

so Mom and I sat on the couches and ate bon bons with no guilt whatsoever!

Brad's work also gave me flowers. Brad's boss and co-workers are so thoughtful! Since my favorite color is pink, and my favorite flower is an Orchid, they searched far and wide to find me a pink Orchid.

They weren't the only ones to find pink Orchids--I also got this one from another dear friend! Before Mom left, she taught me how to water and take care of my other plants. We were literally pruning my big plant "Fred" as we were walking out the door to the airport! Before she left, Mom also made and froze two weeks worth of dinners so that I wouldn't have to worry about what we were going to eat!

Sadly, it was time for Mom to leave. I just love and appreciate my Mom so much, and know my recovery that first week home would have been...well...just not fun! I'm so grateful she was able to book a plane ticket and arrive in Kentucky at the perfect time!

The week after Mom left I had a steady stream of visitors which was so nice!

One of those days my friends from the gym came and made me lunch...

and brought these beautiful flowers, compliments of all the people in my gym classes. I can't wait to get back there and start working out with all of them again!

My dear friend and running partner Christen (whom I was supposed to run a half marathon with this Spring), has also been very patient with me since the beginning of the year, every time she wanted to run with me I would turn her down because I just wasn't feeling well enough.

Christen and her son Archibald came to visit several times, bringing dinner, and her famous peanut butter fudge! I appreciate so much all the people that came to visit after Mom left!

I also appreciate all the cards and well-wishes from everyone!

And, I can't thank everyone enough for all the meals, transportation and places for Merinda to stay, and all the other services I am unaware of, or don't remember. The thing I realized the most through this whole experience is that I am truly blessed!

UPDATE: I think I over did it the second week I was home, because the third week I could hardly pull myself off the couch. I't now been four and a half weeks since my surgery and I am feeling much better... my hair is even starting to grow back (but I think I'll continue to wear hats for a little while longer).
The beginning of this week I had another CT scan and met with Dr. Ramsey who was super happy with my progress and gave me the green light to drive, exercise, and start working again as long as I slowly ease back into things. I'm not allowed to swim yet, and I'll have my vision re-checked in a year or so due to some swelling of in the Optic Chiasm. I still battle with my memory and get headaches and some dizziness & nausea which is usually remedied by laying down a little each day.
Dr. Ramsey says "the brain just gets no respect" meaning that when you go digging around in the middle of the brain it needs time to heal, maybe even more time than knee, hip, or shoulder surgery. But with no visible wounds, people forget and are more impatient. He said my head could feel out of sorts for six months to even a year.
So I am trying to be patient and focus on the things I can do. Most of all, I am counting my blessings everyday for not only my health, but for all of the wonderful people who have helped me and my family through this whole ordeal. Thank You!!!